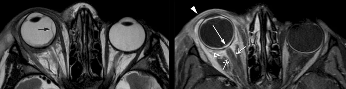
Other Ocular Imaging Applications
In addition to our ocular MRI research, we explore the application of our methods for other body parts and assist in various other projects within the Gorter Center.
These projects include the studying the pathophysiology of the extra-ocular muscles in Myasthenia Gravis patients, improving the quantification of MRI-sequences and improving the calibration of ophthalmic instrumentation.



