Ocular Oncology Research
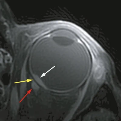
Until recently, MRI was scarcely used in care for patients with eye tumours. In the last years, we have been one of the pioneers in bringing ocular MRI to the clinic and proving its added value. Within our group we have developed high resolution scan protocols of the eye, which include a well-adjusted combination of dedicated hardware, such as an eye coil, and acquisition protocols that are robust against eye motion.
While we continue further tailoring these protocols for new applications, such as the eye lids, part of these technologies have been incorporated into clinical scanners. Together with our clinical partners, we have extensively studied the radiological characteristics of uveal melanoma, the most common primary eye tumour in the Netherlands. Currently, we are extending these analyses to other types of eye tumours, while we are also exploring its potential use as an early marker of therapy response and as a prognostic marker.



