Curling clinic with a radiotherapy twist
Today we participated in a curling clinic at the Dutch Curling Track in Zoetermeer. After some initial effort to master the delicate combination of direction, speed, curl, balance …

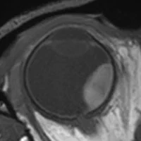
advancing eye care through applied imaging science

New MRI technologies to improve the care for eye tumor patients.

Through MRI-based radiotherapy planning we aim to preserve more of patients’ vision.

Patient-specific optical simulations to identify the causes of various ocular conditions.
Today we participated in a curling clinic at the Dutch Curling Track in Zoetermeer. After some initial effort to master the delicate combination of direction, speed, curl, balance …
Over the past two months, we shared our work in a range of scientific and clinical settings. On January 30th, we participated in the ISMRM Benelux Meeting in Antwerp, where team …